L'Ostéosarcome Para-ostéal a comme particularité de se développer à la surface de l'os. C'est le plus fréquent des ostéosarcomes juxta-corticaux.
 
Terrain et Epidémiologie :
- 5 % des ostéosarcomes
- entre 2e et 4e décades
 
Localisations :
- os long des membres
- jonction métaphyso-diaphysaire
  * localisation classique à la face postérieure du fémur (50 % des cas) +++
  * puis tibia proximal, fémur proximal, humérus proximal
 
Aspect Radiographique :
- masse ossifiée à la surface de l'os (et plus précisément du périoste)
- implantation large corticale
- contours irréguliers, polylobés
  * rarement contours réguliers, simulant une ossification bénigne de type ostéochondrome
 
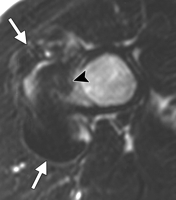
TDM :
- tumeur tend à encercler l'os dont elle reste séparée par un liseré clair (périoste)
  * "string sign"
- minéralisation plus dense au centre qu'à la périphérie
  * contrairement à myosite ossifiante
 
IRM :
- bas signal T1 et T2
- invasion fréquente de la cavité médullaire
  * O.P de bas grade 41 %
  * O.P de haut grade 50 %
- parfois autre composante associée en hypersignal T2
  * si > 1 cm3 alors OP de haut grade
 
Dédifférentiation :
- une dédifférentiation de bas en haut grade peut survenir au cours de l'évolution
  * 16%–43%
  * parfois lors du diagnostic initial ou au cours de l'évolution
  * Ostéosarcome conventionnel ou fibrosarcome ou HFM
  * augmentation de la lyse osseuse, présence d'une masse des parties molles sans ossification
 
Pronostic :
- évolution lente
- pronostic meilleur que Ostéosarcome classique
  * survie à 5 ans  : 86%–91%
 
Diagnostics différentiels :
- myosite ossifiante
- ostéochondrome
- ostéosarcome périostéal
- ostéome juxta-cortical
  * trés rare
- chondrome sous périostée
- chondrosarcome juxta-périosté
AccueilAge osseuxAnatomieChirurgieExamen cliniqueFiches pratiquesImagerie Traitements Médicaux 
Le sport consiste à déléguer au corps quelques-unes des vertus les plus fortes de l'âme
et Sport
Tumeurs
Qui sommes nous ? - Contact - Liens - Coordonnées - Itinéraire
Copyright 2012