Le Lipome représente la tumeur bénigne la plus fréquente des parties molles ( 50 %).  Concerne 1 % de la population. Cette formation tumorale est constituée de cellules graisseuses matures. On distingue en fonction de leur site de développement les lipomes superficiels (sous cutanés, 16 et 50 % de l’ensemble des tumeurs des parties molles) et les lipomes profonds beaucoup plus rares.
 
Aspect typique :
- masse de signal graisseux sur l'ensemble des séquences
 
Symptomatologie clinique :
- masse typiquement asymptomatique
- le plus souvent mobile
- lésion profonde parfois ferme
- rarement douleurs par compression nerveuse
 
Terrain :
- 5 - 75 ans, pic  entre 40 et 60 ans
- 1 H / 1 F
 
Localisations :
1/ Superficielle
- ubiquitaire
- superficiel / sous cutané (le + fréquent) : tronc postérieur, cou, extrémités proximales
2/ Profonde
- rétropéritoine, paroi thoracique, plans profonds des mains et des pieds
3/ Pluri-focal : 5 - 8 %
 
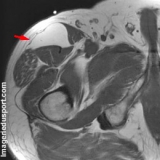
Aspect Radiologique :
- taille
   * < 5 cm 80 %, > 10 cm rare (et alors le souvent liposarcome)
- masse des parties molles  hypodense
- rarement calcifications
 
IRM :
- En T1, hypersignal
- En T2, signal intermédiaire (effacement sur séquence avec suppression de graisse)
- après injection de Gadolinium
  * pas de rehaussement
-  limites nettes, avec souvent septations internes.
 
Stadification :
- stade I : latent
- stade II : actif
- stade III : agressif
 
Histologie :
A/ Lipome
- lipome superficiel
- lipome profond
- fibrolipome
- mésenchymome bénin
B/ Lipome variant
- lipoblastome et lipoblastose
- angiolipome
- lipome a cellules fusiformes
- lipome pleïomorphique
- myolipome
- lipome chondroïde
- myxolipome
AccueilAge osseuxAnatomieChirurgieExamen cliniqueFiches pratiquesImagerie Traitements Médicaux 
Le sport consiste à déléguer au corps quelques-unes des vertus les plus fortes de l'âme
et Sport
Tumeurs
Qui sommes nous ? - Contact - Liens - Coordonnées - Itinéraire
Copyright 2012