Le Lipome intra-osseux est considéré comme rare et représente 0.1 % des tumeurs osseuses. Son histologie est identique à celle des lipomes des parties molles avec présence de lobules graisseux et d'adipocytes matures.
 
Aspect typique : Lésion lytique, de densité ou de signal graisseux, centro-osseuse au niveau de la région métaphysaire des os longs, de la région sous trochantérienne ou du calcanéum et contenant une calcification centrale
 
Terrain :
- entre 5 et 75 ans, moyenne 38 ans
- pas de prédominance de sexe
- Le plus souvent unique, mais des cas de lipomes multiples ont été décrits chez des patients présentant une hyperlipoprotéinémie de type IV
 
Localisations :
siège sur les métaphyses et parfois sur la diaphyse des os longs du membre inférieur (70%)
- peut déborder vers l'épiphyse ou la diaphyse dans 25 % des cas.
fibula (20% ), fémur au niveau de la région sous trochantérienne (15%), et tibia (13%) sont les localisations les plus fréquentes
- ailleurs, atteint le calcanéum 10 % (sous l'éventail de sustentation), le crâne 10 %, le sacrum, le rachis thoraco-lombaire 4 %, côtes 10 %, sacrum, mains et pieds, mandibule
 
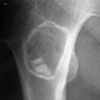
Aspect Radiologique :
- ostéolyse, bien limitée de 3 à 6 cm de diamètre
- contient souvent des trabéculations conférant un aspect cloisonné à la lésion
- entourée d'un fin liseré de condensation (type IA1) complet ou incomplet
- peut souffler la corticale (côtes) et contient dans prés de la moitié des cas une calcification centrale (typiquement au niveau du calcanéum) ou une ossification centrale  par nécrose graisseuse
- pas d'érosion corticale ni de réaction périostée
 
TDM
- confirme le diagnostic en montrant le contenu graisseux de la tumeur (- 40 à - 100 UH)
- fin liseré d'ostéoclérose périphérique
- retrouve les calcifications centro-tumorales +++
- zones kystiques (0 à 20 UH)
 
Symptomatologie clinique :
- asymptomatique ou engendre des douleurs locales parfois accentuées par l'activité.
 
IRM :
- T1 : 
  * zone tumorale en hypersignal T1
  * zone kystique de signal intermédiaire
  * périphérie de bas signal
- T2 : hypersignal relatif T2
  * effacement du signal sur les séquences suppression de graisse de la zone tumorale
  * zone kystique en hypersignal
  *  crêtes osseuses et liseré périphérique en hyposignal
  * calcification de siège centro-tumorale (et non périphérique comme l'infarctus osseux)
- T1 gadolinium : pas de prise de contraste
 
Histologie :
- cellules graisseuses matures
- contenu variable en nécrose graisseuse formation kystique et calcification dystrophique
AccueilAge osseuxAnatomieChirurgieExamen cliniqueFiches pratiquesImagerie Traitements Médicaux 
Le sport consiste à déléguer au corps quelques-unes des vertus les plus fortes de l'âme
et Sport
Tumeurs
Qui sommes nous ? - Contact - Liens - Coordonnées - Itinéraire
Copyright 2012