Le Fibroxanthome ou Fibrome non Ossifiant est un hamartome bénin. C'est la plus fréquente des tumeurs osseuses bénignes et concerne 20 à 30 % des enfants dans les 2 premières décades.
 
Aspect typique : Lésion lytique excentrée, soufflante, métaphysaire d'un os long, avec scalloping cortical, chez un adulte jeune avec sclérose périphérique.
 
Symptomatologie clinique :
- Douleurs, épanchement (peut simuler dérangement interne du genou)
- fracture pathologique (35 % des patients)
 
Terrain :
- entre 10 et 20 ans (prés de 12 % après 20 ans dans la série de la Mayo-clinic). 2H/1F
 
Localisations :
- Métaphysaire s'éloignant de la physe avec l'âge ++
- 50 % au niveau du genou. Fémur (notamment dans sa partie postéro-interne) et tibia - péroné. En regard de zones d'insertion tendineuse ou ligamentaire et s'éloigne de la physe au cours de la croissance
 
Symptomatologie :
- typiquement asymptomatique, parfois douleurs en rapport avec une fracture pathologique (rare)
 
Aspect Radiologique :
- métaphysaire, devenant diaphysaire au cours de la croissance osseuse
- lacune géographique nette, ronde ou ovoïde, à bords condensés et bien limités (IA)
  * aspect parfois lobulé avec travées à prédominance périphérique
- expansion + ou - discréte ; au niveau des os minces, ex : péroné, il occupe l'ensemble de la largeur de l'os
   * corticale amincie mais présente
- épaississement de plus en plus marqué des bords tumoraux au cours de l'évolution
 
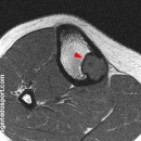
IRM :
En IRM, l'étude de Jee a porté sur 19 patients.
- signal en T1 et T2 dépend, de la présence d'hémosidérine, de la quantité de tissu cellulaire actif, de la quantité de collagéne, d'histiocytes spumeux et de la trabéculation osseuse.
- En T1, tous les FNO sont en hyposignal, parfois zones focales en hypersignal en rapport avec des phénomènes de saignement locaux
- En T2, 15/19 (79 %) sont en hyposignal ; et 4/19 en hypersignal. On peut retrouver sur cette séquence des dépôts d'hémosidérine et des septations internes trés caractéristiques
- après injection de Gadolinium, prise de contraste chez 15 patients (hétérogéne dans 12 cas et homogéne dans 3 cas)
- la présence d'un œdème du spongieux péri-lésionnel est possible et traduit alors le plus souvent une fracture pathologique
 
Diagnostics différentiels :
- Cortical desmoid
- Kyste anévrysmal
- Kyste intra-osseux
- Dysplasie fibreuse
- Fibrome chondromyxoïde
 
Histologie :
Cellules fusiformes fibreuses, quelques celles géantes multi-nuclées et des histiocytes
 
Evolution :
- bénigne, disparait à l'adolescence (regression en 2 à 4 ans)-> fibrome ossifiant
- peut être cicatrice sous forme d'ilot condensant bénin.
 
Traitement :
- "don't touch lésion"
AccueilAge osseuxAnatomieChirurgieExamen cliniqueFiches pratiquesImagerie Traitements Médicaux 
Le sport consiste à déléguer au corps quelques-unes des vertus les plus fortes de l'âme
et Sport
Tumeurs
Qui sommes nous ? - Contact - Liens - Coordonnées - Itinéraire
Copyright 2012