L'Enchondrome ou Chondrome est une tumeur bénigne fréquente (2e tumeur bénigne osseuse,12 à 24 % des tumeurs bénignes et 2 à 10 % de l'ensemble des tumeurs osseuses) d'origine cartilagineuse. Il serait en rapport avec une zone dysplasique de chondrocytes au niveau de la plaque de croissance.
 
Aspect typique : Lésion lytique métaphysaire ou diaphysaire bien définie avec matrice cartilagineuse. 
- taille < 3 cm
 
Terrain :
- pas de prédominance de sexe
- entre 15 et 40 ans
  * pic 10-30 ans
 
Localisations : concerne les os avec ossification enchondrale (pas le crâne)
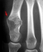
- ubiquitaire mais plus fréquent aux mains (40 à 60 % siègent au niveau des mains et 20 %  au niveau des métaphyses des os longs)
- aux mains, atteinte préférentielle de la partie proximale des phalanges ou de la phalange en totalité. Atteinte phalangienne est 3 fois plus fréquente que l'atteinte métacarpienne. L'atteinte du carpe est trés rare.
- partie proximale de l'humérus : 12%
- le genou représente prés de 20% des localisations. La région métaphysaire fémorale inférieure est une localisation classique.
  * fémur 17 %
 
Symptomatologie clinique :
- habituellement asymptomatique
  * un chondrome douloureux est à priori un chondrosarcome jusqu'à preuve du contraire
- tuméfaction locale
- fracture de l'os porteur (notamment chez l'enfant, et en présence de tumeurs de grande taille du membre inférieur)
 
Aspect Radiologique :
- tumeur centrée ou excentrée, médullaire, ostéolytique, avec ou sans calcification (arcs, anneaux)
- taille < 3 cm (si > 4 cm évoquer chondrosarcome)
- érosions lobulées du versant endostéal de la corticale osseuse
- l'absence de minéralisation complète de la matrice tumorale peut faire sous estimer la taille de la tumeur sur les radiographies
- pas d'interruption corticale ni de réaction périostée
- une augmentation de taille, une disparition de calcification, l'apparition d'une masse des parties molles doivent faire évoquer une transformation sarcomateuse
 
TDM :
- recherche de matrice calcifiée 
- anneaux, arcs +++
 
IRM : formation en général bien limitée, souvent de forme allongée (phalanges) ou arrondie
- T1 : signal intermédiaire en T1
- T2 : hypersignal T2 (cartilage hyalin)
- T1 gadolinium : prise de contraste est d'intensité variable
L'IRM permet de déceler la matrice tumorale non minéralisée
- parfois au sein de la matrice tumorale, on retrouve des zones en hyposignal T1 et en T2 en rapport avec des calcifications centrales intra-tumorales
- apprécier l'extension au sein des parties molles en cas d'effraction corticale (chondrosarcome)
 
Histologie :
- lobules de cartilage hyalin mature avec matrice inter-cellulaire
AccueilAge osseuxAnatomieChirurgieExamen cliniqueFiches pratiquesImagerie Traitements Médicaux 
Le sport consiste à déléguer au corps quelques-unes des vertus les plus fortes de l'âme
et Sport
Tumeurs
Qui sommes nous ? - Contact - Liens - Coordonnées - Itinéraire
Copyright 2012