Le Syndrome d'Impaction Ulnaire ou Ulno-Lunaire s'associe à une longueur excessive de l'ulna avec variance ulnaire positive, augmentation des forces de contrainte et de cisaillement passant par l'ulna (normalement 20 % des forces de compression passent par le cubitus et 80 % par le radius).
 
Aspect Clinique :
- douleurs du bord ulnaire du poignet, notamment en déviation radiale ++
- diminution de la force musculaire (appareil de Jamar)
- gonflement
- clic douloureux
 
Aspect Radiologique et IRM :
1/ mesure de la variance ulnaire
- parfois variance ulnaire neutre, voire négative
 
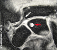
2/ fissure du complexe triangulaire (palmer class 2)
peut s'associer à une atteinte du ligament luno-triquetral
 
3/ chondromalacie le plus souvent focale au début, mais trés symptomatique
sclérose et remaniement kystique sous chondral, à un stade tardif
- prédomine au lunatum (excentrique sur le bord ulnaire)
- moins fréquent au niveau du triquetrum (bord radial) et encore plus rare au niveau de la tête de l'Ulna  (alors que dans le cadre du syndrome d'impingment ulnaire, les remaniements prédominent au niveau de l'extrémité distale de l'ulna)
 
Causes :
- cal vicieux d'une fracture distale du radius
- résection de la tête radiale
- luxation-fracture d'Essex-Lopresti
 
Diagnostics différentiels :
- Maladie de Kienbock
- Lésion du ligament triangulaire
- Conflit ulnaire (cubitus court)
- Instabilité radio-ulnaire distale
 
Diagnostics différentiels et géodes sous chondrales du semi-lunaire :
- conflit cubito-ulnaire
- synovite inflammatoire en particulier rhumatoïde
- kyste synovial en regard de l'insertion d'un ligament palmaire extrinséque
 
Traitements :
1/ Traitement médical : Modification activité, AINS
2/ Traitement arthroscopique isolé du ligament triangulaire : peu efficace
3/ Raccourcissement chirurgical du cubitus ou résection de la tête radiale
- Raccourcissement du cubitus selon Milch
  * réalisé en zone diaphysaire
  * droite, oblique ou en chevron
- Hémirésection de la tête cubitale
- Résection totale de la tête cubitale selon Darrach
- Intervention de Sauvé Kapandji
  * arthrodèse radio-cubitale
- Résection sous chondrale par voie arthroscopique : procédure de Wafer, permet une résection plus limitée et un traitement associé de la lésion du ligament triangulaire
  * la variance ulnaire doit être comprise entre 2 et 5 mm
DarrachMilch
synostose-carpe
AccueilAge osseuxAnatomieChirurgieExamen cliniqueFiches pratiquesImagerie Traitements Médicaux 
Le sport consiste à déléguer au corps quelques-unes des vertus les plus fortes de l'âme
et Sport.com
Main
Qui sommes nous ? - Contact - Liens - Coordonnées - Itinéraire
Copyright 2012