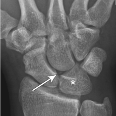
Luxation rétro-lunarienne du carpe
- Fracture associée du triquetrum
Altération arcs I et II de Gilula
- Fracture parcellaire du lunatum
- Bascule palmaire du lunatum avec trop bonne visibilité de sa corne dorsale (petite, pointue et postérieure)
Zones les plus exposées aux fractures
 
A : grand arc
B : petit arc (luxation lunarienne et périlunarienne)
C : articulation radio-lunarienne
 
Stade 1 :
- Dissociation scapho-lunaire avec subluxation rotatoire du scaphoïde
 
Stade 2 :
- instabilité péri-lunaire avec atteinte du ligament radio-scapho-capitate ou fracture de la styloïde radiale
 
Stade 3 :
- rupture du ligament luno-triquetral
- déficience ou avulsion du ligament radio-luno-triquetral et des ligaments dorsaux extrinséques
- on retrouve parfois une malrotation ou une fracture parcellaire latérale du triquetrum
 
Stade 4 :
- rupture complète des ligaments dorsaux extrinséques
- le lunatum libre de ses attaches peut se subluxer vers l'avant
AccueilAge osseuxAnatomieChirurgieExamen cliniqueFiches pratiquesImagerie Traitements Médicaux 
Le sport consiste à déléguer au corps quelques-unes des vertus les plus fortes de l'âme
et Sport.com
Main
Qui sommes nous ? - Contact - Liens - Coordonnées - Itinéraire
Copyright 2012