Les Fractures des Métacarpiens, ont souvent des sièges de survenue caractéristiques.
 
On retrouve fréquemment des déplacements, des angulations et des rotations, qui s'ils ne sont pas corrigés peuvent être à l'origine de lésions séquellaires.
 
1/ Fracture du 1er métacarpien :
- fracture de Bennett ou de Rolando
 
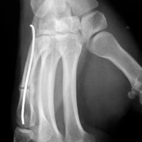
2/ Fracture du 5éme métacarpien
- col ou diaphyse
- fracture du "boxeur" ou du "voyou"
 
3/ Fracture du 3éme et/ou du 4 éme métacarpien
 
4/ Fracture articulaire du 2éme métacarpien
AccueilAge osseuxAnatomieChirurgieExamen cliniqueFiches pratiquesImagerie Traitements Médicaux 
Le sport consiste à déléguer au corps quelques-unes des vertus les plus fortes de l'âme
et Sport.com
Main
Qui sommes nous ? - Contact - Liens - Coordonnées - Itinéraire
Copyright 2012