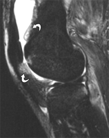
I) Signes d'Arthrite septique aigue à l'IRM :
 
- prise de contraste synoviale (98%),
  * 25 % chez le sujet normal
- oedème péri-synovial (84%),
- épanchement articulaire (70%),
- diverticule synovial (53%),
- prise de contraste de l'épanchement (30%),
- épaississement synovial (22%)
 
II) Signes d'Osteomyélite aigue en IRM :
 
oedème médullaire diffus et plurifocal
- plus large et plus plurifocal comparativement à l'oedéme réactionnel
  * diffus : 86%
  * focal : 14%
- mieux visible en T1 (hyposignal) : 66%
- parfois faussement absent (FN) : 29%
- parfois faussement présent (FP) : 33%
- hypersignal T2 : 84%
- prise de contraste : 81%
 
Ref :
MRI Findings of Septic Arthritis and Associated Osteomyelitis in Adults
Michael Karchevsky
AJR 2004; 182:119-122
AccueilAge osseuxAnatomieChirurgieExamen cliniqueFiches pratiquesImagerie Traitements Médicaux 
Le sport consiste à déléguer au corps quelques-unes des vertus les plus fortes de l'âme
et Sport.com
Main
Qui sommes nous ? - Contact - Liens - Coordonnées - Itinéraire
Copyright 2012