La Maladie des Calcifications à Hydroxy-apatite entraine des dépôts de microcristaux de pyrophosphate de calcium déshydraté.
 
Terrain :
- un peu + fréquent chez la F
- entre 40 et 70 ans
 
Clinique : pas corrélée à la taille de la calcification
- parfois asymptomatique
- ailleurs, violente crise douloureuse, fièvre (diagnostic différentiel atteinte septique)
- troubles de la mobilité
- calcifications peuvent disparaitre spontanément
- durée moyenne d'évolution + 1 mois
 
Siège des Dépôts de cristaux :
- tendons, ligaments, capsules articulaires, bourses, ou tissus mous péri-tendineux
- le plus souvent au niveau des tendons de la coiffe des rotateurs ou de la bourse sous acromiale
- fréquent aussi au niveau des régions para-trochantériennes des coxo-fémorales ou en para-condylien fémoral
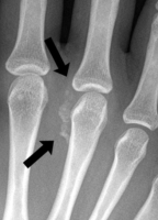
- plus rarement au niveau de la main, du poignet ou des doigts
  * typiquement au niveau du fléchisseur ulnaire du carpe (cubital antérieur) proche du pisiforme
 
Aspect Radiologique : reflète la durée de la maladie
- stade de début,  les cristaux apparaissent mal définis et nuageux,
- avec la progression de la maladie, ils apparaissent plus denses et homogènes avec une configuration linéaire ou circulaire.
 
Destruction articulaire :
- pas retrouvée
- contrairement à la chondrocalcinose articulaire
 
Causes : incertaine
- mécanismes proposés
  * dégénérescence du tendon au niveau de remaniements nécrotiques
  * ATCD traumatique
  * prédisposition génétique
  * facteurs influents métaboliques.
 
Ref :
1/ MR Imaging of Calcification of the Lateral Collateral Ligament of the Knee: A Rare Abnormality and a Cause of Lateral Knee Pain
S. E. Anderson
AJR July 2003 vol. 181 no. 1 199-202
 
2/ Periarticular Calcifications in Two Patients With Acute Hand Pain
Emily N. Vinson
AJR 2010;195:S76-S79
AccueilAge osseuxAnatomieChirurgieExamen cliniqueFiches pratiquesImagerie Traitements Médicaux 
Le sport consiste à déléguer au corps quelques-unes des vertus les plus fortes de l'âme
et Sport.com
Main
Qui sommes nous ? - Contact - Liens - Coordonnées - Itinéraire
Copyright 2012