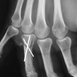
A - Radiographie de face des doigts : Brochage croisé pour fracture de la base de la premiére phalange.
 
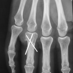
B - Radiographie de 3/4 : Pas d'ostéolyse autour du matériel. Les broches ne traversent pas la surface articulaire métacarpo-phalangienne.
 
Contrôle d'un brochage phalangien.
AccueilAge osseuxAnatomieChirurgieExamen cliniqueFiches pratiquesImagerie Traitements Médicaux 
Le sport consiste à déléguer au corps quelques-unes des vertus les plus fortes de l'âme
et Sport.com
Main
Qui sommes nous ? - Contact - Liens - Coordonnées - Itinéraire
Copyright 2012