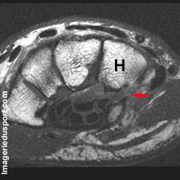
A - IRM du poignet vue axiale T1 : Solution de continuité large au niveau de la base de l'apophyse de l'Hamatum (os crochu). Sclérose des berges fracturaires.
 
B - IRM du poignet coupe axiale T2 : Signal liquidien au niveau de la zone de pseudarthrose sans remaniement sous chondral associé au niveau des berges fracturaires.
 
Pseudarthrose large de l'apophyse unciforme de l'Os crochu ou Hamatum.
AccueilAge osseuxAnatomieChirurgieExamen cliniqueFiches pratiquesImagerie Traitements Médicaux 
Le sport consiste à déléguer au corps quelques-unes des vertus les plus fortes de l'âme
et Sport.com
Main
Qui sommes nous ? - Contact - Liens - Coordonnées - Itinéraire
Copyright 2012