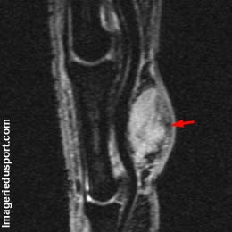
A - IRM du doigt, coupe sagittale T2. Formation tissulaire en hypersignal relatif, au niveau de la face palmaire du doigt.
 
B - IRM du doigt, coupe axiale T2 : la masse se développe sur le bord latéral du tendon fléchisseur.
 
C - IRM du doigt, coupe axiale T1 : La masse lobulée est de signal intermédiaire. Elle s'insinue à travers le plan de la poulie digitale entre la corticale osseuse et le tendon fléchisseur qui est discrètement excentré.
 
Tumeur à cellules géantes développée au niveau de la face palmaire du doigt.
AccueilAge osseuxAnatomieChirurgieExamen cliniqueFiches pratiquesImagerie Traitements Médicaux 
Le sport consiste à déléguer au corps quelques-unes des vertus les plus fortes de l'âme
et Sport.com
Main
Qui sommes nous ? - Contact - Liens - Coordonnées - Itinéraire
Copyright 2012