A - IRM de la main, coupe axiale T1: Masse tissulaire hétérogéne, développée au niveau de l'éminence thenar, refoulant les parties molles voisines (flechisseurs, adducteur du I, court flechisseur du I..). Pas d'infiltration osseuse.
 
B - IRM de la main, coupe axiale T2: La masse est hétérogéne. La présence de zones en asignal est mieux visible sur cette séquence (hémodisérine ? ossification ? calcification ?).
 
C - IRM de la main, coupe axiale T1 gado fat-sat : Réhaussement hétérogéne du signal de la masse, essentiellement périphérique avec centre nécrotique. Pas d'infiltration apparente des parties molles voisines.
 
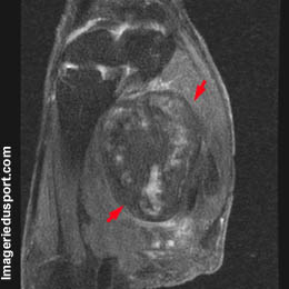
D - IRM de la main, coupe sagittale T1 gado fat-sat : Réhaussement hétérogéne du signal de la masse.
 
Sarcome de l'eminence thenar.
AccueilAge osseuxAnatomieChirurgieExamen cliniqueFiches pratiquesImagerie Traitements Médicaux 
Le sport consiste à déléguer au corps quelques-unes des vertus les plus fortes de l'âme
et Sport.com
Main
Qui sommes nous ? - Contact - Liens - Coordonnées - Itinéraire
Copyright 2012