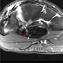
A à D - IRM coupe axiale T2 du poignet : Aspect bi-partite en rapport avec une division précoce du nerf médian au sein du canal carpien. Présence d'une artère (avec hyposignal central) entre les 2 portions nerveuses (flèches rouges).
 
Nerf médian : division précoce et avec persistance d'une artère du nerf médian (asymptomatique).
AccueilAge osseuxAnatomieChirurgieExamen cliniqueFiches pratiquesImagerie Traitements Médicaux 
Le sport consiste à déléguer au corps quelques-unes des vertus les plus fortes de l'âme
et Sport.com
Main
Qui sommes nous ? - Contact - Liens - Coordonnées - Itinéraire
Copyright 2012