A et B - IRM, Coupes axiale et coronale T2 au niveau de la premiére rangée du carpe : Formation kystique à la face dorsale du carpe, développée entre le 2éme radial et l'extenseur commun
 
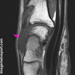
C - IRM, Coupe sagittale T1 : tendance à la bascule du semi-lunaire, à confronter à des clichés du poignet à la recherche d'un DISI.
 
Kyste synovial de la face dorsale du carpe.
AccueilAge osseuxAnatomieChirurgieExamen cliniqueFiches pratiquesImagerie Traitements Médicaux 
Le sport consiste à déléguer au corps quelques-unes des vertus les plus fortes de l'âme
et Sport.com
Main
Qui sommes nous ? - Contact - Liens - Coordonnées - Itinéraire
Copyright 2012