A - Radiographie du poignet, en position neutre : Formation géodique cerclée sur le versant ulnaire et proximale du lunatum. Respect de la variance ulnaire positive. Pas de diastasis luno-triquetral.
 
B - IRM du poignet droit, coupe coronale T2 : La formation géodique du lunatum est en hypersignal relatif net. Remaniement dégénératif du disque articulaire du TFCC qui apparait en hypersignal relatif mais sans fissure communicante visible.
 
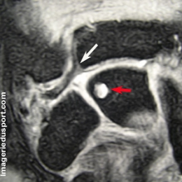
C - IRM du poignet, coupe axiale T2 protons : La formation géodique du lunatum est en hypersignal relatif net. Elle apparait de siège palmaire.
 
Variance ulnaire positive et syndrome d'impaction ulnaire.
AccueilAge osseuxAnatomieChirurgieExamen cliniqueFiches pratiquesImagerie Traitements Médicaux 
Le sport consiste à déléguer au corps quelques-unes des vertus les plus fortes de l'âme
et Sport.com
Main
Qui sommes nous ? - Contact - Liens - Coordonnées - Itinéraire
Copyright 2012