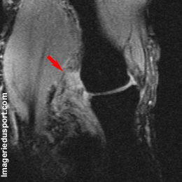
A - IRM du pouce, coupe coronale T2 : Aspect discontinu et rétracté en boule du ligament collateral ulnaire.
 
B - IRM, Coupe axiale T2 : Aspect rétracté en boule du ligament collateral ulnaire
 
Entorse du ligament collateral ulnaire avec lésion de stener associé.
AccueilAge osseuxAnatomieChirurgieExamen cliniqueFiches pratiquesImagerie Traitements Médicaux 
Le sport consiste à déléguer au corps quelques-unes des vertus les plus fortes de l'âme
et Sport.com
Main
Qui sommes nous ? - Contact - Liens - Coordonnées - Itinéraire
Copyright 2012