A - Arthrographie de la médio-carpienne - vue initiale : Cliché avant injection.
 
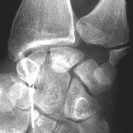
B - Arthrographie de la médio-carpienne - vue précoce : Pénétration de contraste à travers un defect du ligament luno-triquetral.
 
Defect communicant du ligament luno-triquetral.
AccueilAge osseuxAnatomieChirurgieExamen cliniqueFiches pratiquesImagerie Traitements Médicaux 
Le sport consiste à déléguer au corps quelques-unes des vertus les plus fortes de l'âme
et Sport.com
Main
Qui sommes nous ? - Contact - Liens - Coordonnées - Itinéraire
Copyright 2012