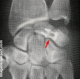
A - Radiographie standard de face : Contrôle post-opératoire immédiat (au bloc) d'une arthrodèse carpienne luno-triquétrale. Controle du rétablissement des arcs de congruence.
 
B - Radiographie standard de profil : Bonne position du matériel de synthése.
 
Arthrodèse luno-triquétrale dans le cadre d'une instabilité de cette articulation. Lors de l'intervention, présence associée d'une lésion du ligament scapho-lunaire, mais d'aspect stable.
AccueilAge osseuxAnatomieChirurgieExamen cliniqueFiches pratiquesImagerie Traitements Médicaux 
Le sport consiste à déléguer au corps quelques-unes des vertus les plus fortes de l'âme
et Sport.com
Main
Qui sommes nous ? - Contact - Liens - Coordonnées - Itinéraire
Copyright 2012