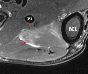
Oedème post-traumatique au niveau de l'Opposant du I
L’Opposant du pouce (Musculus Opponens Pollicis) fait partie de la partie externe du plan moyen des Muscles de l'Eminence Thénar.
 
Insertions :
- versant externe de la crête du trapéze et sur la partie externe du ligament annulaire
 
Corps musculaire :
Triangulaire, recouvre M1
 
Terminaison :
Sur toute la hauteur du versant externe de la face antérieure de M1
 
Innervation :
Rameau thénarien du nerf médian
 
Action :
Porte M1 en avant et en dedans, associé à un mouvement de rotation qui tourne sa face antérieure en dedans
AccueilAge osseuxAnatomieChirurgieExamen cliniqueFiches pratiquesImagerie Traitements Médicaux 
Le sport consiste à déléguer au corps quelques-unes des vertus les plus fortes de l'âme
et Sport.com
Main
Qui sommes nous ? - Contact - Liens - Coordonnées - Itinéraire
Copyright 2012